S naší rtg technikou uvidíte vždy víc a dál.
Anatomické FOV (Field of view) je to, co tento přístroj odlišuje od ostatních. Užitečný pomocník v každodenní praxi.

Pět let záruka
Implantologie
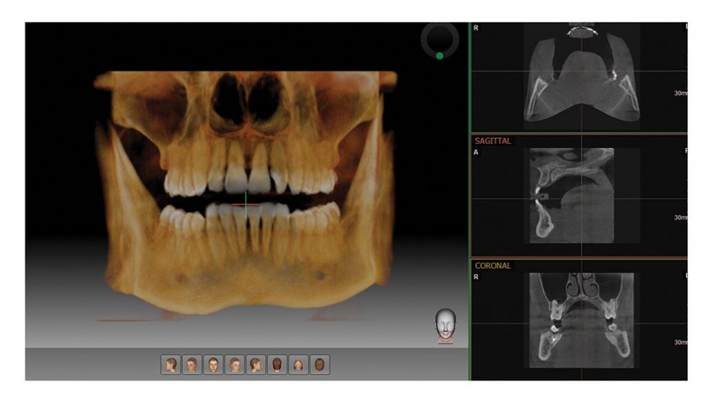
Endodoncie Anatomické FOV 10×8,5cm = 12x9cm – díky unikátnímu tvaru FOV získáte více informací, než s klasickým objemem tvaru válce.
Možnost pořízení 2D OPG snímku a 3D CT skenu najednou, což umožní výraznou redukci radiační zátěže pacienta.
AUTO-MAR nová verze automatické detekce a potlačení kovových artefaktů.
MagicPan snímání více vrstev panoramatického snímku a speciální algoritmus zajišťují vždy nejostřejší OPG snímek. Zejména pak v oblastech frontálního úseku, molárů a mandibulárního kloubu.
Nejnižší možná dávka na pacienta, až o 50 % nižší než je běžné! Součástí dodávky je unikátní SW Ez3D-i v češtině pro práci ve 3D.
Rapid kefalo, snímek lebky již za 2 s.
Inovativní řešení pro snížení šumu obrazu poskytuje ostřejší, jasnější a detailnější CT snímek. Zjistěte i ty nejmenší detaily pro přesnou diagnózu a vylepšené plánování léčby:
• Minimalizovaný obrazový šum – Ostřejší diagnostický obraz s menším zkreslením.
• Méně opakovaných snímků – Snížení opakovaného záření na pacienta.
• Optimalizované pracovní postupy – bezproblémové skenování a zpracování snímku.
Máte zájem o tento produkt?
Předběžná kalkulace přístrojů na míru vašim požadavkům
Poradenství ohledně pořízení přístrojů
Doporučení na doplňkové přístroje a vhodné péče o přístroje
Konzultace zdarma ohledně vybavení nabídka servisu
Máme řešení pro všechny. Od jednotlivých ordinací, přes stoamtologické kliniky, až po fakultní nemocnice.
Podělíme se s vámi o zkušenosti z obdobných praxí jako je ta vaše a přesně vypočítáme návratnost investice.
Ne vždy je pořízení nového přístroje nezbytností. Zvažte údržbu stávajícího našimi kvalifikovanými servisními techniky.
Špatné naplánování vede k výpadku praxe. Ověříme kompatibilitu zvažovaných přístrojů a pomůžeme naplánovat tak, aby byl výpadek minimální.
Servis přístrojů je důležitou součástí našich služeb. Od kvalifikované instalace, a to včetně potřebného zaškolení a správné péči o váš přístroj, přes zákonem dané pravidelné prohlídky (PBTK). Proto máme největší síť certifikovaných servisních techniků po celé ČR.
Po letech cenných zkušeností víme, co všechno budete potřebovat. Je toho hodně. A my jsme tady proto, abychom vás vším provedli a ukázali, že to jde i jinak. Pojďte si s námi zařídit ordinaci nebo laboratoř na míru a ušetřete si spoustu nervů a hlavně potřebného času.
Chcete individuální konzultaci?
Přímý kontakt
Kontaktní formulář
Tato stránka je chráněna službou reCAPTCHA a společností Google. Platí tyto Zásady ochrany osobních údajů a Smluvní podmínky.
Děkujeme
Tyto stránky a na nich dále obsažené informace jsou určeny odborným pracovníkům ve zdravotnictví a nejsou určeny široké – laické - veřejnosti.
Pokračováním v používání těchto stránek potvrzujete, že jste odborníkem ve smyslu §2a zákona č. 40/1995 Sb., o regulaci reklamy, ve znění pozdějších předpisů, a že jste si vědom(a) rizik, která jsou spojena s tím, že se seznámíte s informacemi takto určenými pro případ, že odborníkem nejste.